会员中心

协会简介

更多

中国非公立医疗机构协会经国务院批准,于2014年在北京成立,是全国唯一从事非公立医疗卫生机构行业服务和行业管理的国家级行业组织,英文名称为Chinese Non-government Medical Institutions Association(CNMIA),眼科专业委员会成立于2016年。

首页 > 医学培训 > 病例讨论

患儿远视力下降,黄斑区显示“牛眼征”,病因分析

发布时间:2025/06/19

作者:医学界眼科频道

病历资料

一名6岁的印度裔女孩出生时被诊断患有β-地中海贫血症,近两个月以来双眼远视力下降。她曾多次接受输血,口服铁螯合剂地拉罗司两年,每天125mg,一个月前停止使用。


专科检查:右眼最佳矫正视力为20/100;左眼最佳矫正视力为20/40。眼前节检查无异常。两只眼睛的眼底检查均显示黄斑部有黄斑牛眼征,环形古铜色区域外有一圈紫红色(图 1 , 2)[1]

图片
图1

图片
图2


这不就是典型的“牛眼症”!

病因呢?


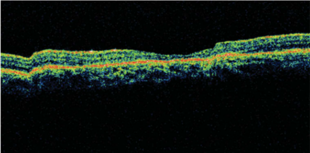
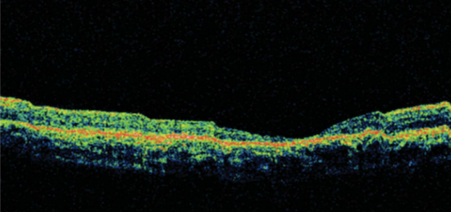
遇到这样双眼黄斑牛眼征,首先考虑遗传性疾病,OCT和电生理检查肯定是少不了的。该患儿双眼的OCT扫描显示黄斑中心凹变薄,右眼更严重,感光器萎缩,RPE反射率增加(图3和图4)[1]。ERG显示熄灭型,而暗适应基本正常。如果考虑色素变性,该患儿没有描述夜盲症状,眼底彩照也没发现视网膜色素改变,仅仅是黄斑区牛眼征。


追问病史:家族中没有人患有遗传性眼底营养不良症。那还能考虑什么?

图片
图3 右眼

图片
图4 左眼

难道与贫血有关?


继续仔细询问病史,患儿口服治疗贫血药物2年,多次接受输血,她的血清铁蛋白水平在400ng/mL至2.250ng/mL之间,每3个月检查一次(正常范围为7-140 ng/mL),显然她的血清铁蛋白水平一直处于明显偏高状态。停药1个月,视力仍呈进行性下降。


我们逐一来进行一下分析:


在视锥细胞营养不良症中,视力下降比眼底变化早得多。畏光和色觉丧失都很明显。随着年龄的增长,视力会进行性,中心凹RPE萎缩更加明显,颞侧视盘苍白萎缩。眼底表现为RPE萎缩的浅色环围绕着深色中心,跟该患儿外环深色,内环浅色不相符。


在视杆-视锥细胞营养不良,视盘苍白增加、动脉变细和视网膜周边色素变化,外观与视网膜色素变性相似。很早就会出现夜盲症,而该患儿没有夜盲症状。

Stargardt营养不良症,又称为青少年黄斑营养不良,多在青少年期发生,少见于幼儿期发病。主要是色素上皮细胞中脂褐质的聚集,最终导致感光细胞死亡。眼底黄斑中心凹呈青铜色,周围的RPE变化较浅。

良性同心环状黄斑营养不良(benign concentric annular macular dystrophy, BCAMD)是由染色体6p12.3-q16的基因突变引起,其特点是呈“牛眼”状黄斑伴色素减退(图5)。

大多数病例来视力尚良好。OCT可很好的显示中心凹变薄,外核层、外丛状层、外界膜和椭圆体区消失,旁中心凹视网膜内层塌陷,类似氯喹视网膜病变。眼底自动荧光显示中心凹高自发荧光,伴随环状低自荧光和高自荧光[3]

图片
图5 彩色眼底照片(a和b)显示同心环状色素减退区和色素沉着区。多色眼底照片(c和d)显示色素减退的同心环状区域和色素沉着的中心凹周围。

巴登氏病Batten’s Disease)又叫神经元腊样纸褐质沉积症(NCLs),通常被认为是一种影响儿童的神经性黄斑脂肪病(JNCL),是一种罕见的疾病[4],通常起源于儿童时期。因为基因突变的原因,患者的溶酶体不能正常工作,导致代谢废物脂褐素堆积沉淀,进而导致进行性视力丧失并最终失明。

药物中毒会导致获得性牛眼黄斑病变,如氯喹和羟氯喹视网膜病变等药物中毒,都有明确的药物服用病史。图7的OCT显示中心凹周围区域的外层结构变薄、层次不清,RPE出现颗粒状外观,因形状,也称“飞碟征”,但患者早期多视力维持尚好,合并白内障或者视神经萎缩后,视力受损明显。

图片
图6 双侧OCT显示ELM和EZ在中心凹周边缺失,ONL变薄[2]

回顾这个病例,该患儿患有β-重型地中海贫血,口服铁螯合剂和多次输血治疗史。在这种情况下,输血、红细胞生成障碍、增加胃肠道对铁的吸收,从而增加会导致体内铁超载。这些贫血患者在定期输血后1年内,体内开始出现实质组织中的铁沉积。显然,长期输血不可避免地会导致铁超载,血铁蛋白含量升高。

一个输血单位的红细胞大约含有250mg铁,而人体每天排出的铁不超1mg。铁负荷逐渐增加会超过血清转铁蛋白(铁的主要转运蛋白)结合铁和解毒的能力。

此后,血浆中的非转铁蛋白结合铁可能会促进游离羟基自由基的产生,而游离羟基自由基是氧相关损伤的传播者。过量的铁对人体所有细胞都有剧毒,可造成严重的、不可逆的机体损伤。研究证实光感受器内段、RPE、脉络膜、核内层和神经节细胞层中存在大量的血红素和非血红素铁[1]

铁与RPE中的黑色素有亲和力,铁的积累会导致RPE萎缩,进而引起中心凹和光感受器萎缩。因此,推测该患儿牛眼黄斑病变的外圈呈紫红色,可能是铁积聚所致。

该患儿在就诊前两年一直在口服螯合剂地拉罗司,可能会对RPE造成伤害,但是已知这种药物可导致可逆性视网膜病变[5],停药后视力会有所改善。但该患儿两年来血清铁蛋白水平一直居高不下,尽管已停药1个月,但双眼视力仍逐渐下降。

双眼OCT显示(图3,4)患者的中心凹变薄和感光细胞发生萎缩。该患儿在停止口服药物后,视力仍在进行性下降,推测持续升高的血清铁蛋白对视力造成更大的伤害。

因此,这个患儿最终诊断为:“Ferritin Retinopathy”  "铁蛋白视网膜病变"。这也给广大眼科医生提醒,虽然儿童和年轻人的牛眼黄斑病变在大多数情况下可诊断为遗传性变性,但仔细检查黄斑中的牛眼形态、询问病史和药物使用史也是必不可少的。


协会简介

更多

中国非公立医疗机构协会经国务院批准,于2014年在北京成立,是全国唯一从事非公立医疗卫生机构行业服务和行业管理的国家级行业组织,英文名称为Chinese Non-government Medical Institutions Association(CNMIA),眼科专业委员会成立于2016年。