文章来源:中华放射学杂志, 2025, 59(1): 20-26.
作者:中国医疗保健国际交流促进会影像医学分会 中华医学会放射学分会头颈学组 中华医学会放射学分会医学影像质量控制与管理规范工作组
通信作者:鲜军舫,Email:cjr.xianjunfang@vip.163.com;孙华,Email:drsunhua@163.com;陶晓峰,Email:cjr.taoxiaofeng@vip.163.com
摘要
泪道阻塞是眼科常见病和多发病,尽早干预是消除症状和改善预后的重要手段。虽然CT泪道造影已成为术前评估、疗效和预后预测以及术后复查的常用方法,但检查方案和评估方法仍缺乏统一规范,报告内容和诊断思路与临床诊疗关注内容仍存在较大差异。为规范和推广CT泪道造影检查技术,提高泪道疾病个性化精准诊疗水平,放射科及眼科专家编写了该共识,内容包括CT泪道造影的适应证、禁忌证、检查前准备、对比剂注射、CT数据采集和图像后处理,诊断评价标准和思路以及结构化报告。泪道阻塞是眼科常见病和多发病,6%~20%的新生儿可发生泪道狭窄或阻塞,在50岁以上人群中,约13.5%发生泪道阻塞性疾病[1]。泪道阻塞主要表现为溢泪,约35%患者伴有流脓,治疗不及时可导致角膜溃疡甚至穿孔、眼内炎等多种严重并发症,明显影响患者视力,严重者甚至失明,尽早积极干预是消除症状和改善预后的唯一手段[2,3],因此,泪道阻塞的早期诊断及治疗非常重要。泪道阻塞病因复杂多样,主要包括泪道的先天性异常、肿瘤、感染和外伤等因素。常规CT和MRI对泪道引流信息显示不足,泪道X线碘油造影通过显示碘油是否潴留判断泪道引流通畅情况,但对阻塞层面的诊断准确度仅为48.5%[4],且无法显示泪道周围软组织情况。泪道磁共振水成像(磁共振泪道造影)可不借助对比剂显示扩张泪道内积液及周围软组织异常,判断泪道阻塞的准确度高达90%,但对造成泪道引流障碍的骨质异常显示能力欠佳。CT泪道造影具有全面无创评估泪道系统及邻近组织结构的优点,图像密度分辨率高,对泪道全程对比剂显示清晰,有利于判断和评估完全阻塞和部分阻塞及阻塞部位,已成为术前评估、疗效和预后预测以及术后复查的常用方法[5,6] 。但目前对CT泪道造影检查方法和泪道的情况评估缺乏统一规范。因此,中国医疗保健国际交流促进会影像医学分会联合中华医学会放射学分会医学影像质量控制与管理规范工作组和头颈学组,牵头组织放射科和眼科专家讨论并编写《泪道系统CT造影检查与评估专家共识》,旨在明确CT泪道造影的适应证、禁忌证、检查前准备、对比剂注射、CT数据采集和图像后处理以及诊断评价标准,为提高泪道疾病个性化精准诊疗提供客观依据。本共识遵循推荐评估、发展和评价分级(grades of recommendation assessment,development,and evaluation,GRADE)系统提出的推荐意见和相应理论依据( 表1 )。推荐强度分级考虑了利益平衡、证据质量、价值观和选择意愿、资源配置4个关键因素。本共识已在国际实践指南注册平台( http://www.guidelinesregistry.cn/)注册(PREPARE-2024CN1045)。

一、适应证及禁忌证
(一)适应证
1. 先天性溢泪的患者:评估泪道系统发育情况,显示正常解剖结构和先天畸形(证据级别中,弱推荐)。
2. 头面部外伤,眼睑、结膜及泪囊感染及诊断为鼻窦炎或鼻腔鼻窦肿瘤,并伴有溢泪的患者:对外伤、炎症或肿瘤等疾病的定性诊断和阻塞平面定位(证据级别中,弱推荐)。
3. 拟行泪道手术的患者:协助制订手术计划,了解手术路径的解剖结构,如造骨孔处骨质的厚薄程度,泪囊与中鼻甲位置的定位关系,泪囊窝与前组筛窦及毗邻结构的层次关系,手术空间是否充足等(证据级别中,弱推荐)。
4.泪道手术患者疗效评估及术后随访(证据级别中,弱推荐)。
(二)禁忌证
1. 绝对禁忌证:严重碘过敏的患者;泪道周围蜂窝织炎、皮肤开放性创口的患者;急性泪囊炎和急性结膜炎患者(证据级别中,强推荐)。
2. 相对禁忌证:严重全身系统疾病患者;内眦部畸形或存在明显瘢痕的患者;冲洗针头无法进入上下泪点和泪小管的患者;孕妇;精神和心理疾病患者(证据级别中,强推荐)。
(三)特殊患者需要注意的情况
1.CT 泪道碘对比剂用量小,也不进入血液系统,很少引起肾功能损害和甲状腺危象,但对于严重肾功能衰竭患者,仍应充分谨慎评估行该检查的临床获益,做好应对对比剂肾病的治疗方案。
2. 目前碘对比剂对婴幼儿的不良反应尚不十分清楚,哺乳期的患者泪道造影后对比剂是否经乳汁排泄仍不明确,鉴于含碘对比剂可能对婴儿造成潜在的危害,通常建议在检查后至少等待24 h再进行母乳喂养。
二、检查前准备和注意事项
1.术前评估及知情同意:(1)在进行CT泪道造影检查前充分告知患者及家属碘对比剂应用的必要性和可能存在的风险,并签署知情同意书。(2)了解患者病史和眼科检查情况,如角膜、结膜有无炎症、异物、上皮缺失,了解泪道冲洗是否通畅,了解眼睑、内眦形态是否正常,了解是否患有面神经麻痹。(3)了解患者是否存在碘对比剂过敏或其他不良事件的高风险因素,如是否有眼外伤、手术、感染或其他相关疾病史及全身系统性疾病,并权衡患者进行该项检查的获益与风险,对不良事件防治做好充分准备[78] 。
2. 泪道准备及对比剂注射:(1)去除头颈部金属装饰物及可去除的金属假牙、眼镜(包括角膜接触镜)等影响检查或成像质量的风险因素。(2)按压患者泪囊,尽可能排出泪囊分泌物并使用无菌棉签擦拭干净,对患者双眼结膜囊及鼻腔进行清洁。(3)将爱尔卡因滴眼液等表面麻醉药滴入患者双眼结膜囊,闭眼静息5 min后注射对比剂,不必擦拭留在眼部结膜囊及面部的对比剂,避免因外力加压造成对比剂溢出泪道。(4)嘱患者不可揉眼、用力闭眼、擤鼻、打喷嚏等,并立即进入CT室进行扫描,尽量缩短对比剂注射至扫描的间隔时间。
三、CT泪道造影的碘对比剂用法及用量
1.对比剂的使用建议参考《碘对比剂使用指南(第 2 版)》[9] ,推荐使用碘浓度为 320~400 mg/ml 的非离子型单体低渗对比剂(证据级别高,强推荐)。
2. 使用 5 ml 泪道冲洗针于双眼上下泪点注射碘对比剂1~2 ml,注药量以碘对比剂溢出泪点或鼻咽腔为度,首先注入患侧泪道,后注入健侧泪道(证据级别中,弱推荐)。记录对比剂注入情况,如注入过程不畅或患者诉疼痛,不可继续加压避免对泪道造成的压力性损伤及碘对比剂误入泪道周围组织内。
四、CT泪道造影的数据采集方案
1. 扫描体位和范围:采用仰卧位,听眶下线与床面垂直,正中矢状面与床面中线重合。扫描基线为听眶下线,扫描范围从眼眶上缘至上颌骨下缘 (证据级别高,强推荐),见图1。
2.扫描参数和辐射剂量优化:可参考鼻窦扫描方案[10]。推荐采用螺旋扫描方式,管电压 100~ 120 kV,可手动选择适宜的管电压,也可根据设备条件使用自动管电压调制技术;有效管电流 量 150~220 mAs/层,推荐根据设备条件使用自动管电流调制技术,准直器宽度 10~40 mm,螺距 0.6~0.8;如果设备准直宽度能覆盖扫描范围且图像质量满足需求时可使用轴扫模式。辐射剂量参考水平(容积 CT 剂量指数)为 25 mGy,可能达到水平为 15 mGy [11] (证据级别高,强推荐)。
3. 重建参数:推荐使用迭代重建,用于图像后处理的源图像(薄层图像)重建算法(卷积核)分别使用骨算法和软组织算法,骨算法推荐使用高分辨重建算法,软组织算法推荐使用标准算法,重组层厚为设备允许的最薄层厚,层间距为层厚的 50%~ 80%(证据级别中,强推荐)。
五、CT泪道造影的图像重组及保存方案
1. 多平面重组(multiplane reformation,MPR):包括横断面、冠状面和矢状面(表 2,图 2~7),在骨算法薄层图像上完成。


图1 CT泪道造影扫描范围示意图。扫描范围从眼眶上缘至上颌骨下缘
图2~7 CT泪道造影多平面重组基线和范围。图2为横断面重组基线和范围,图3为泪道横断面图像。图4为冠状面重组基线和范围,图5为泪道冠状面图像。图6为矢状面重组基线和范围,图7为泪道矢状面图像
图8 CT泪道造影冠状面最大密度投影图像。范围包含鼻泪管前后缘
2.最大密度投影(maximum intensity projection, MIP)重组:在冠状面重组图像基础上进行 MIP 重组(图8)。
3. 推荐将源图像(薄层图像)和重组后的图像均推送至 PACS 保留,有条件的医疗机构在保证信息安全的前提下,推荐将图像上传云胶片系统,便于用户随时随地通过手机或电脑访问。
4. 如果打印重组后图像,推荐 14 in×17 in (1 in=2.54 cm)胶片打印,每张胶片不宜超过 24 幅图像,图像数量较多时可选择重点区域打印(证据级别中,强推荐)。
六、图像质量评价标准
1. 对比剂充盈效果评价:(1)对比剂无明显外溢,眼周及颌面部皮肤无对比剂污染;(2)能清晰显示对比剂分布情况,泪道内高密度碘对比剂的中心CT值在 300~350 HU范围内,确保扫描区域内的泪道横断面影像具备足够的分辨率和对比度,确保细微结构显示良好(证据级别高,强推荐)。
2. 图像质量评价:(1)图像应无体外金属异物产生的明显线束硬化伪影,确保泪道结构的真实性和清晰度;(2)无呼吸、吞咽等运动位移等造成的运动伪影,确保泪道与邻近器官、软组织的位置关系准确呈现,无重叠或模糊现象;(3)图像重组层厚、层间距及图像边界应根据临床需求设置,窗技术应调整至最佳范围,以突出显示泪道结构及其细节,图像边界与泪道边界相符合,提供充足的解剖学信息(证据级别高,强推荐)。
七、泪道阻塞图像判读方法与诊断标准
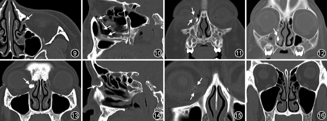
1. 正常泪道的临床及 CT 造影表现(图 9,10):(1)无溢泪病史;(2)泪道周围骨质形态自然;(3)碘对比剂通过泪小管进入泪囊,并能快速、顺畅地流向下鼻道、鼻咽腔或口咽部;(4)泪道内残留少量碘对比剂(证据级别高,强推荐)。
2.鼻泪管阻塞临床及CT造影表现(图11,12):(1)患侧溢泪病史;(2)鼻泪管阻塞位置上游鼻泪管、泪囊和泪小管碘对比剂潴留;(3)下鼻道及鼻咽腔内均无碘对比剂显示(证据级别高,强推荐)。
3. 泪囊阻塞临床及 CT 造影表现(图 13,14):(1)患侧溢泪病史;(2)泪囊阻塞部位上游泪道碘对比剂潴留(证据级别中,强推荐)。
4.泪总管阻塞临床及CT造影表现(图15,16):(1)患侧溢泪病史;(2)结膜囊及上下泪小管显影,碘对比剂在泪囊外侧壁上下泪小管交角处终止(证据级别低,不确定);(3)泪囊、鼻泪管及鼻咽腔未见碘对比剂显示。

图9,10 CT 泪道造影图像。左侧泪道通畅,横断面(图 9)及矢状面(图 10)显示泪囊边缘和下鼻道少量碘对比剂(??)
图11,12 鼻泪管阻塞 CT 泪道造影图像。患儿右眼溢泪病史,冠状面图像显示泪小管(图 11,白??)、泪囊(图 11,黑??)、鼻泪管(图12??)内碘对比剂潴留,下鼻道及鼻腔未见碘对比剂。右侧上颌窦内可见炎症(*)
图13,14 泪囊阻塞CT泪道造影图像。CT 冠状面(图13)和矢状面(图14)显示右侧泪囊内碘对比剂潴留(??),右侧鼻泪管及下鼻道无对比剂显示
图15,16 泪总管阻塞CT 泪道造影图像。右侧泪总管阻塞,冠状面显示上下泪小管无法汇合,上下泪小管见少量碘对比剂(图15,??),泪囊和下鼻道内无对比剂显示(图16)
5.泪道狭窄(泪道不全阻塞)临床及CT造影表现:(1)患侧溢泪病史;(2)泪囊、鼻泪管、下鼻道或鼻咽腔内见碘对比剂显示;(3)可伴有泪囊和鼻泪管扩张(证据级别中,弱推荐)。
八、泪道阻塞诊断思路
(一)先天性泪道阻塞
1. 分类:按部位可分为泪囊前型、泪囊型和泪囊后型,其中以Hasner瓣膜闭锁引起的泪囊后型鼻泪管阻塞最为常见,占新生儿泪道阻塞疾病的70% 以上[12] 。
2.CT 泪道造影表现:(1)泪囊前型。泪小管或泪总管碘对比剂显影,泪囊、鼻泪管及鼻鼻咽腔等下游泪道无碘对比剂显影。(2)泪囊型。泪囊区碘对比剂潴留,泪囊下游泪道无对比剂显影;泪囊区多可见占位性病变,表现为泪囊区软组织密度或低密度的充盈缺损。(3)泪囊后型。泪囊及鼻泪管内对比剂残留;Hasner瓣膜闭锁表现为鼻泪管下口线状软组织密度影,上游泪道阻塞;下鼻道及鼻咽腔无碘对比剂残留[13] 。
3.CT 泪道造影诊断思路:(1)出生后溢泪是判断先天性泪道狭窄或闭塞的必要条件。(2)观察有无造成骨性鼻泪管狭窄的先天性疾病,如颅面骨发育畸形、骨纤维异常增殖症等。(3)观察碘对比剂显影位置,如下鼻道和鼻咽腔内有碘对比剂显示,多考虑泪道狭窄。如下鼻道和鼻咽腔无碘对比剂显示,可考虑为泪道阻塞,需根据碘对比剂截断位置判断阻塞层面和病因,如泪小点闭锁、Hasner 瓣膜闭锁、泪囊囊肿等。先天性泪道阻塞分析思路见图17。

图17 先天性泪道阻塞诊断思路
(二)获得性泪道狭窄
1.分类:根据阻塞部位分为(1)上泪道阻塞,包括泪小点、泪小管和泪总管阻塞;(2)下泪道阻塞,包括泪囊和鼻泪管阻塞[14] 。
2.CT 泪道造影表现:(1)上泪道阻塞。泪小管或泪总管碘对比剂潴留,泪囊、鼻泪管及鼻鼻咽腔无碘对比剂显影。(2)下泪道阻塞。泪囊或鼻泪管内碘对比剂潴留,下鼻道及鼻咽腔内无碘对比剂显影。
3.CT 泪道造影诊断思路:(1)溢泪和其他伴随症状是诊断泪道狭窄和阻塞的关键;(2)结合患者头面部外伤史、眼部感染症状或肿瘤病史,观察泪道阻塞区域及周围骨质和软组织情况,如鼻泪管骨折、泪囊鼻泪管断裂、泪囊炎症或肿瘤等;(3)无器质性病变者需判断有无导致泪液引流障碍的功能性疾病,如面神经麻痹导致的眼轮匝肌麻痹等。获得性泪道阻塞诊断思路见图18。

图18 获得性泪道阻塞诊断思路
九、排泪功能随访及泪道术后评价
1. 鼻泪管探通术后评价:(1)泪道探通术后仍存在溢泪的患者行 CT 泪道造影评价泪道狭窄病因及位置;(2)评估泪道探通失败患者泪道阻塞病因。
2.泪小管及泪总管激光、球囊成形术后评价及随访:(1)评价术后泪道引流是否通畅;(2)评价成形术后是否存在泪道损伤,观察是否有碘对比剂外溢和异常引流通道;(3)成形术后随访,观察是否存在瘢痕粘连等导致泪道再狭窄的因素。
3. 泪囊鼻腔吻合术评价及随访:(1)术前判断阻塞位置,显示泪囊鼻泪管解剖关系、造骨孔处骨质厚薄程度及手术路径中鼻腔结构是否存在变异,如过度气化的筛房、严重的鼻中隔偏曲等;(2)评价术后造口位置是否正确及吻合口是否通畅;(3)术后随访排泪功能,观察造口位置是否存在瘢痕闭锁、骨窗融合和肉芽增生等影响泪液引流的因素[15] 。
4. 泪道支架置入术及置管术后评价:(1)评价支架或置管位置是否正确;(2)术后泪道是否通畅;(3)随访观察置入物有无移位或脱出。
十、CT泪道造影报告书写原则及结构式报告
(一)报告书写原则
1.报告顺序:(1)先患侧再健侧原则,如果双眼均发病,可先右侧再左侧。(2)沿泪液流动方向,从泪小管开始,依次描述泪小管、泪囊、鼻泪管、下鼻道和鼻咽腔碘对比剂分布情况(证据级别高,强推荐)。
2. 报告内容:(1)描述碘对比剂是否潴留及潴留位置,描述潴留区上下游泪道内碘对比剂分布情况(证据级别高,强推荐)。(2)描述人工植入物位置状态,如泪道置管、药物支架等(证据级别高,强推荐)。(3)描述眼眶、鼻鼻窦骨质情况,包括眶壁、鼻窦及鼻骨骨折,过度偏曲成角的鼻中隔,异常气化膨胀的鼻窦气房(如鼻丘气房发育过大、Haller 气房)和可导致泪道狭窄的骨纤维结构不良等(证据级别中,强推荐)。(4)描述泪囊、鼻泪管内软组织结构异常,描述患侧眼睑、颌面部软组织和鼻腔内软组织异常,重点描述鼻腔鼻窦炎症、软组织肿胀、术后吻合口肿胀、过度增大的鼻甲和肿瘤及肿瘤样病变(证据级别中,强推荐)。
(二)结构式报告
为充分发挥 CT 泪道造影在临床诊治中作用,规范CT泪道造影报告,制订了CT泪道造影结构式报告供放射科医师参考,见图19。

图19 CT泪道造影结构式报告模板
综上所述,本共识明确了 CT 泪道造影的适应证、禁忌证、检查前准备、使用的碘对比剂种类及剂量和浓度、检查方案和参数、图像质量管理与控制、图像解读、报告书写原则、诊断与评估标准及其在泪道阻塞疾病中的诊断评价中的作用与分析思路,旨在为泪道阻塞疾病诊治提供指导和参考依据。
执笔者:李铮(首都医科大学附属北京同仁医院放射科)、刘云福(首都医科大学附属北京同仁医院放射科)
共识专家组成员(按姓名拼音排序):毕万利(山东第一医科大学附属省立医院影像科)、陈涓(北京医院放射科)、陈楠(首都医科大学宣武医院放射科)、陈青华(首都医科大学附属北京同仁医院放射科)、陈潭辉(福建医科大学附属第一医院放射科)、陈钰(中国医学科学院北京协和医院放射科)、丁长伟(中国医科大学附属盛京医院放射科)、丁静文(首都医科大学附属北京同仁医院眼科)、丁忠祥(杭州市第一人民医院放射科)、高顺禹(北京大学肿瘤医院放射科)、耿道颖(复旦大学附属华山医院放射科)、巩若箴(山东第一医科大学附属省立医院影像科)、韩丹(昆明医科大学第一附属医院放射科)、黄飚(广东省人民医院放射科)、黄显龙(重庆市人民医院放射科)、金观桥(广西医科大学附属肿瘤医院放射科)、李冬梅(首都医科大学附属北京同仁医院眼科)、李恒国(暨南大学附属第一医院放射科)、李松柏(中国医科大学附属第一医院放射科)、李亚军(中南大学湘雅二医院放射科)、刘筠(天津市第四中心医院放射科)、罗德红(中国医学科学院肿瘤医院深圳医院放射科)、马国林(中日友好医院放射科)、马辉(华中科技大学同济医学院附属协和医院放射科)、马明平(福建省立医院放射科)、满凤媛(火箭军特色医疗中心放射科)、潘初(华中科技大学同济医学院附属同济医院放射科)、乔英(山西医科大学第一医院放射科)、邱士军(广州中医药大学第一附属医院放射科)、沙炎(复旦大学附属眼耳鼻喉科医院放射科)、史大鹏(河南省人民医院放射科)、苏丹柯(广西医科大学附属肿瘤医院医学影像中心)、孙华(首都医科大学附属北京同仁医院眼科)、唐桂波(青海省人民医院放射科)、陶晓峰(上海交通大学医学院附属第九人民医院放射科)、王飞(海南省人民医院放射科)、王斐斐(郑州大学第一附属医院放射科)、王振常(首都医科大学附属北京友谊医院放射科)、王振祥(新疆维吾尔自治区巴州医院放射科)、文戈(南方医科大学南方医院放射科)、邬海博(北京大学第三医院放射科)、邬小平(西安交通大学附属西安市中心医院放射科)、吴斌(复旦大学附属肿瘤医院放射科)、吴飞云(南京医科大学第一附属医院放射科)、夏爽(天津市第一中心医院放射科)、鲜军舫(首都医科大学附属北京同仁医院放射科)、肖喜刚(哈尔滨医科大学附属第一医院放射科)、邢伟(苏州大学附属第三医院放射科)、徐坚民(深圳市人民医院放射科)、徐雷鸣(浙江大学医学院附属第二医院放射科)、许尚文(解放军联勤保障部队第九〇〇医院放射科)、杨军乐(西安市第三医院放射科)、杨智云(中山大学附属第一医院放射科)、袁庆海(吉林大学第二医院放射科)、月强(四川大学华西医院放射科)、张权(天津医科大学总医院放射科)、张水兴(暨南大学附属第一医院放射科)、赵鹏飞(首都医科大学附属北京友谊医院放射科)、周正荣(复旦大学附属肿瘤医院放射科)、朱凌(上海交通大学医学院附属第九人民医院放射科)
参考文献(略)