会员中心

协会简介

更多

中国非公立医疗机构协会经国务院批准,于2014年在北京成立,是全国唯一从事非公立医疗卫生机构行业服务和行业管理的国家级行业组织,英文名称为Chinese Non-government Medical Institutions Association(CNMIA),眼科专业委员会成立于2016年。

首页 > 信息中心 > 业内动态

票选6席晋级决赛!见微清,全视界”全眼影像卓越病例大赛第一阶段线上投票开启

发布时间:2025/09/26

作者:微清眼科

“见微清,全视界——全眼影像卓越病例大赛”自启动以来,得到了众多医院和医生的积极响应,我们收到了大量高质量的病例投稿。目前赛事进程过半,现正式对第一阶段投稿最终筛选出的13例优秀病例开启线上公众投票通道。

本轮投票采用匿名方式进行。每位用户可投三票,支持您最喜爱的三项作品。得票数前6名的参赛者将晋级决赛,在现场进行演讲并角逐最终奖项。诚邀您参与投票,共同见证优秀病例的精彩呈现!

投票时间:9月25日至10月15日

投票规则:匿名投票,每位用户共3票。

投票方式:查阅下方病例展示信息后,扫描文末二维码即可投票。

作品展示

1.中心性浆液性脉络膜视网膜病变/北京大学人民医院

1.png

1(1).png

1(2).png

1(3).png

1(4).png

(1)患者基本信息:男性,35岁

(2)主诉:左眼视力下降12天。

(3)现病史:患者因视力下降,视物模糊,在当地医院诊断为中心性浆液性脉络膜视网膜病变,现因进一步治疗,到我院眼科门诊就诊,现用药。

2.双眼糖网,双眼老年性黄斑变性/天津医科大学总医院

2.png

2(1).png

2(2).png

2(3).png

2(4).png

(1) 患者基本信息:女性,63岁

(2) 主诉:视物模糊

(3) 既往史:糖尿病。

3.双眼白点状视网膜病变、中山陈星海中西医结合医院

3.png

3(1).png

3(2).png 

(1) 患者基本信息:女性,56岁

(2) 主诉:右眼前黑影飘动一月余。

(3) 现病史:1月余前无明显诱因出现右眼前黑影飘动,无眼痛眼胀等其他眼部症状,今来我院就诊。

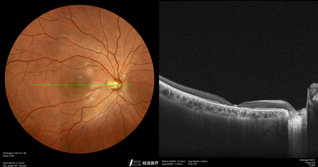
4.左眼脉络膜骨瘤/重庆医科大学附属第二医院

4.png

4(1).png

4(2).png

(1) 患者基本信息:女性,26岁

(2) 主诉:左眼视物模糊变形2月。

(3) 初步诊断:左眼脉络膜骨瘤

5.双眼湿性AMD/廊坊市人民医院

5.png

5(1).png

5(2).png

(1) 患者基本信息:男性,74岁

(2) 主诉:双眼视力下降2月。

(3) 现病史:8月8号、14号分别行双眼IVA注射,觉无明显改善。

(4) 初步诊断:老年性黄斑变性(双眼)。

6.息肉状脉络膜血管病变/北京协和医院

6.png

6(1).png

6(2).png

6(3).png

(1) 患者基本信息:女性,51岁

(2) 主诉:右眼视力突然下降3天。

(3) 现病史:右眼视力突然下降3天,伴黑影遮挡。

7.视网膜分支静脉阻塞/复旦大学附属眼耳鼻喉科医院

7.png

7(1).png

7(2).png

7(3).png

(1) 患者基本信息:女性,54岁

(2) 现病史:患者因“右眼BRVO”在我院就诊,予以抗VEGF治疗1针,现复查。

8.视网膜分支静脉阻塞/廊坊市广阳区眼科医院

1758873743787423.png

1758873750670754.png

1758873757205088.png

1758873762860454.png

1758873770751246.png

(1) 一、患者基本信息:女性,69岁

(2) 二、主诉:右眼视物不清10天。

9.增殖期糖尿病视网膜病变/廊坊市人民医院

9.png

9(1).png

9(2).png

9(3).png

9(4).png

(1) 患者基本信息:女性,65岁

(2) 主诉:右眼PDR6期,玻切术后2月,自觉视力无提高。

(3) 现病史:右眼PDR6期,玻切术后2月,自觉视力无提高,上次就诊建议左眼底激光,患者未做。

10.右眼视网膜分支静脉阻塞,双眼糖网、天津医科大学总医院

10.png

1758873835821210.png

12(2).png

1758873850729521.png

10(4).png

(1) 患者基本信息:男性,45岁

11、Coats/中国人民解放军中部战区总医院

11.png

11(1).png

11(2).png

11(3).png

10(4).png

(1) 患者基本信息:男性,61岁

(2) 主诉:右眼视力下降3年余,加重2月余。

(3) 初步诊断:右眼湿性年龄相关性黄斑病变、右眼视网膜大动脉瘤、右眼coats病。

12.小柳原田综合征/中山陈星海中西医结合医院

12.png

12(1).png

12(2).png

12(3).png

(1) 患者基本信息:女性,18岁

(2) 主诉:双眼视朦一周。

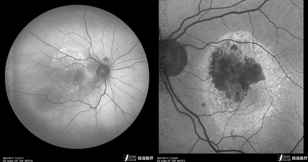
13.双眼黄斑变性(Stargardt病待查)/重庆医科大学附属第二医院

13.png

13(1).png

13(2).png

13(3).png

(1) 患者基本信息:女性,10岁

(2) 主诉:双眼视力下降2年。

(3) 初步诊断:双眼黄斑变性(Stargardt病待查)

扫描下方二维码,为您喜欢的作品投票~

14.png

病例大赛仍在进行中,我们诚挚地邀请您分享优秀临床案例。您可关注【微清医疗】或【医信眼科】官方微信公众号(任选其一)。关注后,在公众号对话框发送关键词“病例大赛投稿”,即可获取投稿链接并进行在线提交。回复“模板”,可获取投稿文档模板。

声明:本文仅供医疗卫生专业人士学术交流,不代表本平台观点。该等信息不能以任何方式取代专业的医疗指导,也不应被视为诊疗建议,如果该信息被用于资讯以外的目的,本平台及作者不承担相关责任。


协会简介

更多

中国非公立医疗机构协会经国务院批准,于2014年在北京成立,是全国唯一从事非公立医疗卫生机构行业服务和行业管理的国家级行业组织,英文名称为Chinese Non-government Medical Institutions Association(CNMIA),眼科专业委员会成立于2016年。